>
Essa solução provisória pode gerar algumas críticas, e antes de tudo, saibam que elas são muito bem vindas pra mim!!! Comentem!
Eis que me aparece na segunda-feira passada no consultório um paciente de urgência. Seria uma emergência se ele tivesse me procurado na hora do ocorrido, que foi no sábado!!!
Futebol é um esporte muito perigoso, ainda mais pra atletas de fim de semana. Esse meu paciente tomou uma cotoveladas DAQUELAS na boca, resultando em duas fraturas dentárias…
Não bati nenhuma foto dele na segunda, porque fui pega de surpresa e também não sabia muito o que fazer na hora… realizei a exodontia do dente 12 e o 11 deixei a raiz, pois queria a opinião de um endodontista.
Mediquei com antibiótico, antiinflamatório e analgésico, e dei uma testado pra semana inteira, pois COMO alguém poderia trabalhar assim?
Quinta-feira ele voltou, e depois de conversar com alguns colegas (com o @pgfilho principalmente) fui orientada a fazer uma contenção com dentes de estoque. Tudo certo, porém, nesse dia, não tinha dentes de estoque no consultório, e claro, só lembrei quando o paciente já estava na cadeira.
O que fazer então?
No PSF a gente aprende a ser criativo, a lidar com o improviso. Alguns me chamam de “Dra. MacGyver” porque o que mais faço lá é pino de clips e colar dentadura com resina composta. Não é o certo, mas é o que eu posso fazer pra deixar os pacientes sem condições financeiras sorrirem. E por mais increça que parível fica satisfatório.
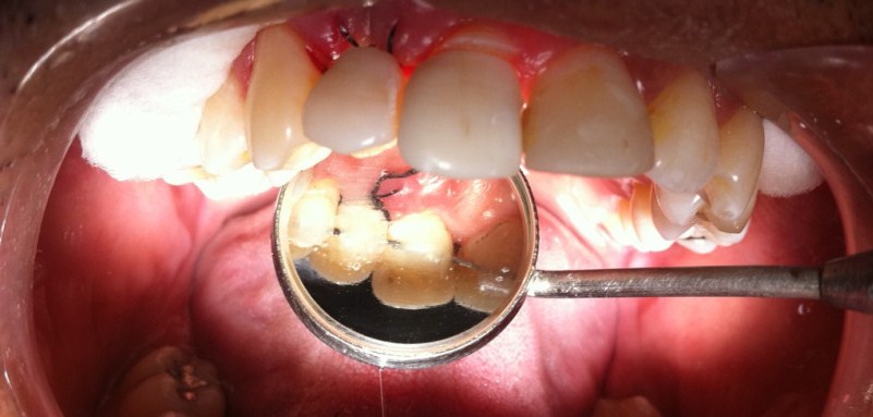
Não poderia pedir pra ele voltar em um outro dia, então pensei em utilizar os próprios dentes do paciente como provisórios. Desgastei as laterais e a parte cervical para encaixar melhor.
Ficaram mais claros, óbvio, estavam desidratados! Ficou um pouco desalinhado na hora, então foi necessário realizar alguns ajustes.
E finalizando os ajustes, ficou assim:
Encaminhei meu paciente para um endodontista de confiança e expliquei as possibilidades de tratamento. Ele ficou bastante chateado, ainda mais pela opção mais cara ser a mais indicada.
Vontade de sugerir que o “agressor” bancasse o tratamento foi grande, mas acidentes acontecem. E mesmo assim ele não ficou TÃO chateado quanto a nossa diva @ninacris, que também fraturou um salto de bota, unhas e dois cantinhos de dente… mas isso já é outra história. 😉
#goDIVAS! GO!







>Gostei da soluçao provisoria
>Gostei tb Marjo.
Agora q eu tô estagiando na Prefeitura do RJ acho q terei esse curso de "Se vira nos 30 odontológico".
E ah lógico, parabéns pela criatividade e habilidade, foi #MARA
>Por isso que digo que o SUS e uma escola muito importante! Quando quenum acadêmico teria um caso desse, "se vira nos 30", na faculdade e, se aparecesse no cons privado, com ctz encaminharia a um especialista! Nao acho que seja uma questão para criticar. Muito pelo contrário: admirar a capacidade de um profissional que consegue restabelecer a estética e função em meio a condições adversas! Parabéns amiga! Adorei!
>Marjo, vivo fazendo esse coisas tbem, já algumas muitas vezes fiz provisório com o próprio dente, já colei o dente q extrai na PPR ate o pac poder fazer uma nova, já usei clips como provisório , os pacientes saem realizados do Consultorio, e sempre voltam, mesmo q depois de algum tempo para fazer o tratamento definitivo.
Bom, mas já q vc tocou no assunto, farei um post sobre o meu acidente…..
>Marjo, acho que vc é minha irmã siamesa e eu naõ sabia kkkkk!
Sempre digo que fiz o curso de mágicodonto e o de milagrodonto eu fui quase até o fim.
Trabalho em bairro com muito paciente humilde e faço muito conserto pra que ele possa voltar a sorrir e principalmente a comer, até poder fazer algo melhor.
Ta certo que tem alguns que voltam 5 anos depois, mas isso é outra história.
Pino de clips, prov. com dente de estoque ou com uma bolinha de RAAQ, a própria coroa, remendo em PT, etc.
Me faz tão bem quanto uma endo bem feita. Sinto como missão cumprida. Nem sempre o ideal é o possível. Bjo
Ainda bem que vc guardou as exo.