Faço muitos no consultório e já usei um monte de marcas comerciais! Nesse caso, dividido em 2 etapas, usei, na primeira aplicação “WHITEGOLD OFFICE – Dentsply” (peróxido de hidrogênio 35%, 1 aplicação de 45 minutos sem troca de gel e sem fonte luminosa). Na segunda sessão, “MIX ONE SUPREME – Villevie” (peróxido de hidrogênio 35%, 1 aplicação de 45 minutos sem troca de gel e sem uso de fonte luminosa).
Como já dito em outro post, o uso de fonte luminosa fica a critério do profissional. O gel clareador age, por si só, independente de luz. Esta atua, somente, como acelerador do processo.
Atualmente, defende-se muito a idéia do não uso de qualquer tipo de luz, em virtude da alteração de temperatura (que varia de tipo de luz – LED, Laser) e consequente reação pulpar (entenda, sensibilidade).
Em ambas as sessões, o paciente não relatou sensibilidade.
Foi orientado quanto ao consumo de corantes e saiu sorrindo, feliz da vida!
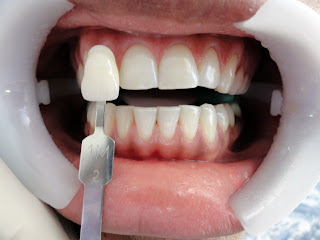
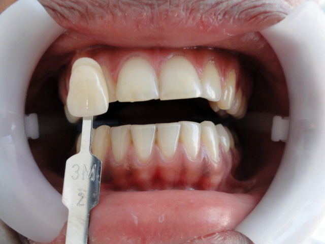
1 SESSÃO: “WHITE GOLD OFFICE – Dentsply“
Esse gel possui um esquema de seringa A e seringa B, que ao acopladas e misturadas, resultam no gel clareador final. Cada seringa (são 4 na embalagem, sendo 2 seringas A e 2 seringas B + barreira gengival), rende o suficiente para 2 pacientes. Gostei pelo não contato do operador diretamente com os produtos.
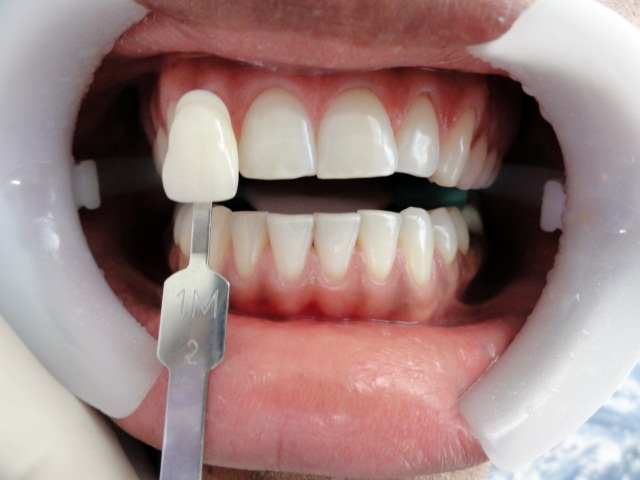
Um gel clareador, já pronto, sem necessidade de qualquer tipo de manipulação, e que se apresenta numa forma muito prática: uma caneta, com um pincel na ponta. Ao girarmos a base da caneta, o gel é levado às cerdas e, dali, procede a aplicação do material. Não escorre. Excelente tixotropia. Meninas, TIPO GLOSS! A-DO-REI!!!! Outra coisa bacana: cada kit contem 2 seringas com o princípio ativo + protetores linguais + barreira gengival + dessenssibilizante + taças de feltro já com material para polimento após as sessões. E o preço, bem acessível. Cada kit, dá para 4 pacientes, levando em consideração a bula do produto.
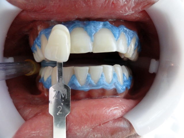
CASO FINALIZADO
Obs.: Como dito, também, em outro post, a FOUSP realizou testes com 3 marcas de gel clareador para avaliação do tempo da manutenção do pH cítrico dos mesmos. Ou seja, mantendo-se o pH cítrico por 45 minutos, não há necessidade da troca do gel, em intervalos de 15 minutos, como preconiza a maioria dos fabricantes. Eu, desde que li o artigo, não realizo mais trocas de gel. Dentre os géis citados, o Whiteness HP 35%, da FGM, está incluso. Qualquer dúvida, só solicitarem o artigo!
Enjoy!
Beijocas

>Isabelita,
A bula preconiza 3 trocas a cada 15 minutos (a maioria dos géis são assim, com excessão do Pola Office, da SDI). Mas eu não troco não.
Deixo na superfície por 45 minutos. A diferença desse da Villevie é que ele vai dar uma ressecada. Aí vc vem com spray de água/ar pra retirar, em vez de seringa de endo ou sugador cirúrgico para remoção do excesso do gel.
Mas o resultado é mto bom!
>Oi Ju! O da Villevie vc também usa sem trocar de 15 em 15 minutos??Porque ele é para ser trocado neh??
>O post é: "Clareamento Dental – Valorizando o Sorriso". Bete, passa seu e-mail pro [email protected] que eu encaminho!
Célia, eu associo caseiro + consultório em casos extremos: dentes bem escurecidos, numa escala maior que o A3,5 ou quando o paciente quer mesmo ESTÉTICA! Sabe, qdo ele fica em cima aiuhauiuia?
>Gastei uma grana no meu laser… Para clareamento e laserterapia! Só uso pra cicatrização mesmo. Pra clareamento, ficou pra trás…
>Faço pouco, mas com bons resultados.
Passei anão trocar o gel depois do artigo da USP.
Costumo usar a fonte de luz. Hábito.
A sensibilidade é pouca.
Combino o profissional com o caseiro. Vou rever. Bjo querida
>Olá!! Parabéns pelo post.
Em qual outro post está dizendo sobre clareamento? Não consegui localizar.
E por favor gostaria de ler tb o artigo.
Obrigada
>Adorei o post Ju, muito esclarecedor!!!
Não costumava fazer clareamento em consultório justamente por não obter bons resultados, já tinha ouvido da fonte de luz inclusive um vendedor insiste em me vender um laser pros clareamentos.
Vou testar novamente, dessa vez quem sabe em mim 😀 E quero trocar figurinhas tb. Bjo
>Muito bom o clareamento!!
Eu custumo usar o laser e combino com o clareamento caseiro
Vou testas os produtos e a técnica 😉
Bjs