>
Paciente do sexo masculino compareceu ao consultório com a seguinte queixa: “Quero meus dentes brancos.” (SIC).
É sabido que o processo de clareamento é favorável em casos de pacientes jovens, cujos túbulos dentinários se encontram mais “abertos”, favorecendo a permeabilidade do princípio ativo; e pacientes que nunca se submeteram a processos clareadores anteriormente.
Eis que o paciente se enquadrava nos 2 ítens.
O material de escolha foi o gel clareador “Mix One Supreme“, da Villevie. Trata-se de um produto (peróxido de hidrogênio 35%) que tem uma característica que, a meu ver, é fantástica: não necessita de manipulação (o que diminui seu tempo clínico, otimizando seu trabalho) e um aplicador em forma de pincel, onde ao girar a parte de baixo da caneta, o gel é direcionado às cerdas para ser aplicado, com segurança, sem risco de contato com a mão do operador. O material não escoa, o que dá segurança ao trabalhar.
De todos os produtos disponíveis no mercado (que eu já testei quase todos, se não todos), achei o Kit da marca o mais completo: 3 seringas, barreira gengival, dessenssibilizante, afastadores linguais e taças de feltro com mandril para polimento. O preço? Bem acessível! A bula do fabricante preconiza 3 aplicações de 15 minutos. Apesar das trocas, achei que o produto rende bastante!
Fiquei muito satisfeita!
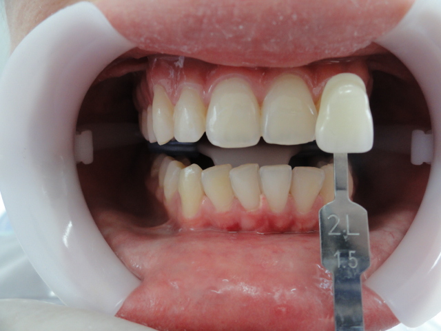
Esse é o resultado da primeira sessão do paciente.
1. INÍCIO:
2. APÓS PROFILAXIA COM PEDRA POMES E ÁGUA, APLICAÇÃO DE BARREIRA E PROTEÇÃO COM ROLETE DE ALGODÃO:
3. APLICAÇÃO DO MATERIAL (FORAM FEITAS 3 TROCAS, EM INTERVALOS DE 15 MINUTOS):

Qual tempo que esse clareamento dura????
Revivendo o tópico, tenho colegas que condicionam o dente com ácido antes de aplicar o gel, é recomendado? Eu utilizei esse produto 1x a muito tempo e achei excelente, vou usar novamente, pois aquele Whiteness Blue da FGM é muito ruim. Obrigado.
Não faço condicionamento ácido de superfície. Aliás, nunca ouvi falar nisso.
O correto é fazer uma boa profilaxia para remover matéria orgânica para posterior aplicação do gel.
Oi…quantas sessões vc faz para que seja considerado “branco” e dar alta ao paciente? (sei que essa publicação é antiga.) Obrigada. 🙂
Olá!
O grau de clareamento varia de pessoa pra pessoa e não é possível mensurar o “branco”. O que eu procuro fazer com meus pacientes é: 4 sessões de clareamento, 1x por semana, durante 4 semanas. Se o paciente quiser, mais 2 ou 3 de consultório ou a associação do caseiro.
O “branco” varia muito. Vai da exigência estética de cada paciente e da resposta do dente ao tratamento.
😉
>Érica, nenhum gel clareador necessita de luz. A luz, no caso, é um acelerador do processo, mas os estudos mostram que o aumento da temperatura gerado pelas fontes luminosas está diretamente associado à sensibilidade pós operatória. Eu, há 1 ano, não uso luz. Comprei um aparelho da Cleanline, de laser puro para clareamento e as 2 canetas para laser terapia e não uso…
>Ju, esse produto ñ tem ativação por luz? bj @erimazzali
>Uso muito esse clareador e nunca tive esse problema. Provavelmente, o problema com o corante seja por uso inadequado do produto, pois com essa onda de não remover o gel (deixando-o agira direto por 45minutos), muita gente não respeita o protocolo. Eu já fiz 1 única aplicação, sem troca. Esse produto, em específico, resseca muito e essa pode ter sido a causa do manchamento citado. Mas, quando feitas as trocas em intervalos de 15 minutos, nunca ocorreu.
>Ju procurei o Villevie aqui em sampa e a atendente da dental me disse que teve alguns casos de manchamento pelo corante amarelo. Procede??? bjo