>Um caso que me emocionou, particularmente!
Essa paciente compareceu ao consultório, acompanhada da filha e do marido.
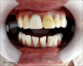
Durante o exame clínico, ela me contou que o filho ria dela quando ela sorria e que isso a incomodava muito. Já fiquei sensibilizada aí!
Quando ela saiu da sala, o marido me perguntou: “Dra, o que a Sra. puder fazer pra que minha esposa não fique sem rir nas fotografias, eu pago. Mas quero vê-la sorrir!”
Tracei o plano de tratamento, orientei sobre todas as possibilidades possíveis de reabilitação dessa paciente mas, em virtude das condições financeiras, optaram por facetas em resina.
Antes, procedi com clareamento dos elementos. Os incisivos superiores permaneceram amarelos, mas expliquei que seria o passo a diminuir a sombra para qualquer procedimento restaurador que viesse posteriormente.
Embora mal posicionados, os dentes separados não incomodavam a paciente. Só mesmo a cor e a anatomia dos dentes superiores.
Ela, final de semana passado, tinha uma festa da família para ir e me pediu, se possível, para agilizar o tratamento dela.
De segunda à quinta, durante 1 hora e meia de sessão, confeccionei as facetas.
Ainda há ajustes a serem feitos, como centralização de linha média e avaliação da necessidade (ou não) de aumento de coroa clínica no elemento 11, uma vez que a borda gengival dos centrais é posicionada 1mm acima da borda gengival dos incisivos laterais – situação que não ocorre nessa paciente. Reparem que os contornos estão na mesma altura.
Mas, daí em diante, são ajustes!
Ainda procederei com o polimento final.
Mas ela saiu sorrindo! E muito!
E eu com sensação de dever cumprido!
Materiais utilizados:
- Protetor labial
- Afastador labial Arcflex (FGM)
- Ácido Fosfórico 37% CONDAC (FGM)
- Adesivo Single Bond (3M ESPE)
- Resinas de dentina, corpo, esmalte e translúcida (DA2, BA2, EA2, CT) z350 XT (3M ESPE)
- Fio afastador gengival Pro Retract 0 e 000 (FGM)
- Espátula para resina ESTETIC PLUS (TDV)
- Tira matriz de poliéster e tira de lixa para acabamento proximal TDV
- Discos para polimento Sof-Lex (3M ESPE)
Discos de feltro para polimento e pasta Diamantada Diamond Excel (FGM)
1 – Aspecto Inicial
2- Desgaste realizado no elemento 11, seguido de inserção de fios afastadores 000, seguido do 0 e ataque ácido. Notem a hisquemia gengival. (ps.: O termo “afastador” remete a uma condição periodontal patológica, por isso uso o termo FIO AFASTADOR)
3 – Aspecto após aplicação do sistema adesivo
4 – Aspecto da faceta finalizada, sem polimento.
5 – Elemento 11 finalizado.
6 – Finalização do elemento 21:
7 – Finalização do elemento 12:
8 – Finalização do elemento 22:
Peço a opinião de Ortodontistas, Periodontistas para finalização desse caso. Postarei, assim que tiver em mãos, radiografia panorâmica desse caso.

Nossa ficou perfeito, lindo! Minha irmã que acabou de se formar está até pensando em colocar em prática com uma paciênte que quer ajudar…
Mas está com dúvidas…nesse caso precisou de silicone de adição ir para laboratório ou foi você mesma quem fez a mão livre na boca da paciênte as facetas. Porque em outro exemplo eu pesquisando para ela uma maneira mais econômica descomplicada usaram o próprio dente do paciênte É como se o dente fosse o modelo de gesso, porém as resinas também tem o preço elevado. A Dr. indicaria quais resinas mais acessíveis para realizar o procedimento… ficou de mais! … parabéns.
Nossa ficou perfeito, lindo! Minha irmã que acabou de se formar está até pensando em colocar em prática com uma paciênte que quer
ajudar…
Mas está com dúvidas…nesse caso precisou de silicone de adição ir para laboratório ou foi você mesma quem fez a mão livre na boca da
paciênte as facetas. Porque em outro exemplo eu pesquisando para ela uma maneira mais economica descomplicada usaram o proprio
dente do paciênte É como se o dente fosse o modelo de gesso, porém as resinas também tem o preço elevado. A Dr. indicaria quais
resinas mais acessíveis para realizar o procedimento… ficou de mais parabéns. http://www.opalini.com/pt-
br/noticias/post/faceta-diretaindireta-de-resina-composta/
Achei que ficou sem as ranhuras que imita um dente natural e muito opaco
Ficou parecendo um Chiclets.
Por isso que um curso para fazer isso é carissimo!
O que importa é que a paciente adorou e me agradece até hj.
Com o passar dos anos a gente refina a técnica.
Cursos estéticos são caros sim! Se estiver sobrando grana aí, vc poderia me patrocinar! :p
parabens lindissimo trabalho!
so por dúvida…vc usou que resina (cor) para forramento?
Olá!
Nesse caso eu usei a resina da 3M, Z350XT.
Trabalhei com cores de dentina, corpo, esmalte e cobertura translúcida, em pequenos incrementos.
Também utilizei a espátula Estetic Plus, da TDV, para alisamento de superfície.
Recomendo muito esses produtos!
Bom trabalho! Parabéns!
Gostaria de saber se é mesmo possível corrigir a linha média com facetas ou só com aparelho.
Obrigada.
Até dá, Gloria. Mas isso só quando o desvio de linha média é muito sutil. Senão, a indicação é de uso de aparelho, mesmo.
eu fiz um tratamento com facetas, mas o resultado não chegou nem perto do seu, ficou perfeito…parabens
Obrigada querida!
SOU DE SETE LAGOAS -MG.
È PENA QUE EM MINHA CIDADE
NÃO TENHA UMA PROFISSIONAL
COMO VC QUE SE COMOVE COM
A SITUAÇÃO DOS CLIENTES,
QUEM SABE NUM FUTURO
BEM PRÓXIMO EU REALIZE
TB MEU SONHO.
ABRAÇOS. PARABÉNS PELO
FANTÁSTICO TRABALHO.
Muito obrigada!
Com certeza vc encontrará um profissional que atenda suas necessidades!
Sucesso!
gostaria de saber quanto custa esse tratamento de faceta com resina composta em cada dente a forma de pagamento e o tipo de parcelamento
O valor do tratamento varia de acordo com o profissional!
Procure um profissional de sua confiança e informe-se!
Sucesso! 🙂
Ôpa, aqui a resposta é ajato! rsrs..
Rsrsrsrs
Oi, não sou dentista, mas aprecio a saúde em todos os sentidos, limpez acima de tudo, mas a aparência às vezez ajuda muito, seu trabalho ficou ótimo, com certeza ela e a família devem ter adorado. Pelo menos aqui no blog a aprovação foi unanime!!
Responde os comentários!
Dica: antes de postar as fotos, edite-as cortando um pouco nas partes superiores e inferiores (wide) para deixá-las com um aspecto mais agradável;)
Obrigada Rodrigo!
Levarei em conta sua dica quanto à edição de fotos!
Bom feriado! \o/
Uxxx, ficou tão branco que reflete as coisas.. só achei que ficou meio torto o frontal esquerdo, meio acavalado sobre o direito, mas ficou dez!
Obs.: Visto que só há mensagens de elogio, se não quiser não precisa postar esse coment. Excelente trabalho.
Claro que será aceito o comentário!
Obrigada pela visita!
>Não tem satisfação maior pra gente que é dentista poder devolver um sorriso a alguem, não precisa ser porcelana, feito com resina e com amor, o resultado final com certeza agradou a paciente!Gostei bastante!
>Ameiiiii!!!!! 🙂
>Depois dizem que dentista não faz milagres… hehehehehehe
>Que beleza, Dra!!!!!
Imagino a alegria da paciente.
bjssssssssssssssss
>Tks Doc!
>Lindo trabalho, parabéns!
>Mandou bem Dra. Juliana