O “Maravilhoso Mundo da Resina Composta“. Era assim que meu professor de Dentística se referia ao material (Prof. Dr. Carlos Rocha Gomes Torres). E foi por essas e outras que eu me apaixonei por tudo que o material oferece!
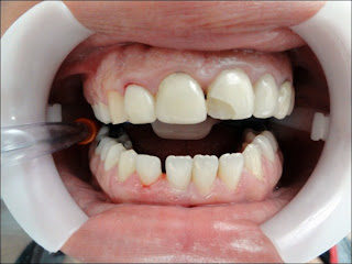
Paciente do sexo feminino, compareceu ao consultório em meados de dezembro de 2010, com fratura da peça protética do elemento 21.
Entramos em contato com os protéticos com os quais trabalhamos e a resposta foi a mesma: “Dra., não temos tempo para fazer o trabalho!”.
Todos nós sabemos a dificuldade que é e a correria que as festas de fim de ano trazem para nós! Pacientes querem milagre às vésperas dos fogos do Reveillon!
Solução imediata? Sentar no mocho, retirar a peça e refazê-la com resina composta, diretamente no consultório!
Pedi a paciente que retornasse em Janeiro, para confecção da coroa unitária. A restauração foi deixada em infra-oclusão, propositalmente, pois fiquei com receio de cair no meio da Ceia de Natal!
Mas até agora a paciente não voltou! E isso é um ótimo sinal!
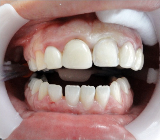
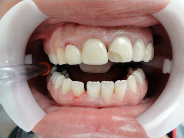
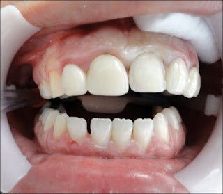
Reparem que ela possui coroas nos incisivos superiores! A resina utilizada foi a Z350 XT (3M ESPE), fio afastador gengival Pro Retract OO (FGM) afastador labial Arcflex (FGM), pontas diamantadas para acabamento de resina em baixa rotação (para texturização), seguida de polimento com discos Sof Lex (3M ESPE) e pasta diamantada com discos de feltro (Diamond Excel – FGM)
 
																		
																		 
			 
			 
			 
			 
			 
			 
			
 
			
>A faceta esta linda!!!
Parabéns!!
Também gosto muiiito da 350 da 3M!
Bjs