>
Fonte: imagem 
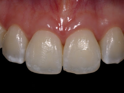
E por falar em clareamento… Inclui-se nesse procedimento a Microabrasão Dental, onde fazemos um desgaste superficial do esmalte, com a finalidade de remoção de manchas específicas, localizadas. Obtém-se resultados muito satisfatórios, quando associado a outras técnicas de clareamento externo.
Como é feito o procedimento?
A microabrasão é realizada através do uso de pó de pedra pomes associado ao ácido clorídrico a 18% e a aplicação é feita com taça de borracha ou escova de Robson. 
O procedimento é indicado para casos de fluorose, hipocalcificações e hipoplasias do esmalte e em determinados casos de lesões cariosas (lógico que quando no estágio de mancha branca inativa). De acordo com a alteração de cor, escolhe-se o tratamento adequado.
A técnica possui suas contra indicações. O diagnóstico clínico da profundidade das manchas é muito difícil, mas o que pode-se dizer é que, quanto mais opaca e profunda, menor a possibilidade de remoção total da mancha pela técnica.
Deve-se ter cuidados especiais com pacientes respiradores bucais que, por não possuírem selamento labial passivo, não mantem a umidade dos dentes anteriores, principalmente quando dormem. A desidratação da estrutura pode acarretar o reaparecimento das manchas hipocalcificadas microabrasionada anteriormente, resultando no fracasso do tratamento. 
Lesões carioras, se apresentarem-se como manchas brancas ativas, não requer tratamento de abrasão, mas sim de remineralização do esmalte. Casos de cavitação estão contra indicados, devendo ser feito tratamento expectante ou restaurador estético.
Para pigmentações externas, causadas pela alimentação e cigarro, indica-se profilaxia com pedra pomes e clareamento externo.
Percolação marginal (ou inflitração marginal), indica-se o clareamento externo e a troca da restauração. E, nos casos de escurecimento após tratamento endodôntico, indica-se clareamento interno do elemento, associado ou não ao clareamento externo.
																		
																		
			
			
			
			
			
			
			
			
No Comment