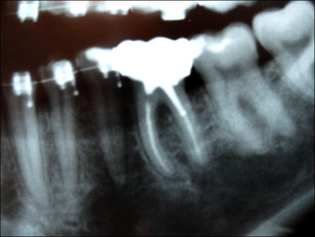
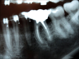
>Era uma vez…
Uma BROCA, não sei afirmar, ao certo, a marca comercial, esférica (uma 1012, 1013???).
Um certo dia, a Broca encontrou o BROCO (ou melhor, o BLOCO) e, numa paixão arrebatadora, contando com o empenho do cupido “Corega Lambão”, fundiram-se…
Para sempre!
Ou não…
(Caso ocorrido na clínica onde trabalho, gentilmente cedido pela Dra. Carolina Cunha)
>Sacinhora
>Que animal!
>Um pino de retenção super moderno.kkkk
>Melllldellllzzzzzzzzz
>Falar o q né, existem dentistas e dentistas….afffffff