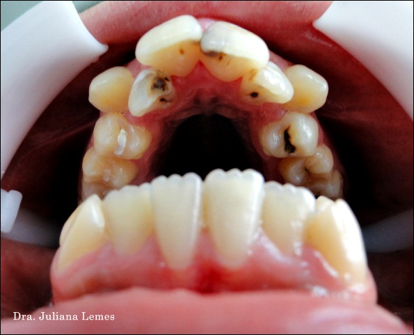
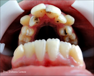
Paciente do sexo feminino, 18 anos, compareceu ao consultório por indicação de uma colega.
Fui informada de que essa menina estava passando por problemas psicológicos em virtude da estética dos dentes dela!
A menina, de uma família humilde, estava em tratamento no SUS. E obteve ALTA CLÍNICA!
O colega que a tratou informou que não havia o que ser feito com ela.
E aí meus amores, vocês concordam com isso?
Eu fiquei assim… meio BEGE!
Já disse em outro post: “Tá com preguiça, fica em casa dormindo!”
A situação odontológica do país é precária: a verba chega aos municípios, não há repasse (ou há desvio), não há incentivo, profissionais desestimulados. Mas por favor… Precisamos mudar essa realidade!
BRASIL SORRIDENTE? #TODOSCHORA

>Bom, divas…
Eu nunca trabalhei no serviço publico e minha vida sempre foi de consultorio/clinicas pelaí. Entao, nao sei a realidade de cada consultorio.
Porém, uma coisa aprendi desde cedo em casa (e nao foi na faculdade): FAÇA O QUE PODE COM O QUE TEM.
Sei que o pior dos piores postos de atendimento odontologico publicos do pais atualmente tem NO MINIMO aquele OZE que pode muito bem servir para adequar o meio e orientar o paciente. Se nao tiver, pelo amor de Deus, será que o colega nao pode gastar no minimo esses 20 reais (sei lá qto custa OZE) para ter o minimo do minimo do minimo para trabalhar e se sentir um profissional competente?
Cansei de ver gente que trabalhava em posto, com população carente, e que dizia na cara dura: "Eu tenho um acordo com a outra dentista de revezarmos lá. Quando eu nao vou, ela assina pra mim e vice versa.". Hoje tá por aqui, saindo em coluna social, pagando de fodão/fodona.
Por essas e outras que tenho orgulho em ser amigo e, graças ao post da torta, colaborador daqui. Ao menos quem lê percebe que existe gente interessada em fazer o melhor que pode com o que tem, seja o máximo de recursos ou mais escassos que sejam.
Nessa conversa, endosso o que a Marjo disse: o problema nao é do sistema. O maior problema é do caráter do colega FILHO DUMA **** que fez isso e denigre nao somente seus parceiros no postinho, como todos nós, dentistas.
>A população não vai pra rádio aí não???
Aqui é o que mais fazem. E os jornalistas adoram uma polêmica, sem investigar colocam qualquer coisa no ar. Isso se chama CONTROLE SOCIAL. A população tem o poder pra isso. Essa paciente deveria ter dito o que todos dizem: "Eu pago meus impostos e eu quero tudo o que eu tenho direito!"
Mesmo que nesse caso o que ela tinha direito caso não houvesse material fossem restaurações provisórias, com o cavitão mesmo. Deixar assim é relaxo total do profissional, e não do sistema. Acho que não deveria nem colocar como categoria "SUS" esse post, e sim "doutor flor de pessoa".
>Concordo Marjo que o problema não é do sistema. Mas muitos "Flores de Pessoa" justificam as condições de trabalho para fazer isso aí eu eu e vcs viram. Tb trabalhei no serviço público e até trabalho de ambulância eu já fiz (coisa que não era de minha responsabilidade). A questão toda é: o colega, que é do SUS, fez isso! Nessa comunidade, a rotatividade de profissional é mto grande. Logo, é de competência dos gestores avaliarem o motivo da insatisfação da população e abrir a vaga para quem, realmente, esteja afim de trabalhar.
>Como "diva do SUS" vou ter que discordar: NÃO É CULPA DO SUS A SITUAÇÃO DA PACIENTE, muito menos do programa do governo ou da falta/desvio de verba do mesmo. A culpa é da "flor de pessoa" que atendeu ela no SUS, da incompetência e má vontade desse profissional unicamente.
Pra não deixar um paciente sem sorrir já fiz muito pino de clips e reconstrução em resina de uma cor só no PSF que trabalho. Não é minha função, que é apenas realizar atendimentos clínicos lá com o que me é oferecido. Nesses casos fala mais alto o meu lado social, encorajado pelo meu juramento de dentista.
Não é culpa do sistema que desestimula o profissional. O servidor do SUS quando contratado, seja por concurso, cooperativa ou CLT, assinou um contrato onde dizia quais eram suas obrigações como dentista servidor do sistema único de saúde. Além disso, esse profissional fez um juramento na sua formatura também que como profissional faria tudo de acordo com o que havia aprendido na faculdade, para o bem estar e a recuperação da saúde dos seus pacientes.
Infelizmente temos muitas "flores de pessoa" espalhadas pelos postos de saúde do Brasil a fora, e gestores que não sabem fazer funcionar.
É fácil reclamar da situação atual. É fácil dizer que tudo no SUS é uma bosta (perdoem-me a palavra). MUITO FÁCIL. Mas peraí? Tá todo mundo fazendo aua parte??
Para refletir, não deixem de acessar, um dos primeiros textos que escrevi e o VDD publicou que reflete essa mentalidade: http://vidadedentista.com.br/2010/09/como-melhorar-saude-publica-no-brasil.html
>Estou pensando em algo, mas como nessa unidade de saúde a rotatividade de profissionais é grande, não sei quem deu o atendimento.
>Ele disse que tinha terminado o tratamento???
No PS da APCD em SP ela teria pelo menos a adequação do meio (remoção de cáries e restaurações provisórias. Neste caso acho que o colega deveria ser denunciado ao CRORJ.
Neste caso, acho que a ética deve proteger o cliente e a proteção pela classe, denigre a imagem de todos.
Alguém com esta visão de saúde publica deveria ter o diploma cassado, se é que tem diploma.
Ser humano desprezível.
>Só no 21 tem uma monte de coisa pra fazer. Imagine se considerarmos o restante… O.O
>Se eu te contar que recebi um caso parecido hj!!
Paciente estava em tratamento em outra clinica.. e não gostou… E eu fui observar o que o outro dentista fez… de classe II com excesso na cervical a restaurações em cima de cárie… =/ e o pior que eu conheço o dentista que fez isso… ESTOU CoNTRARIADA!