Mais uma troca de “porcelana”. Não posso afirmar se realmente era uma porcelana, mas tudo indica que não (principalmente a pigmentação que ocorreu, sendo que a paciente colocou a peça protética depois de um clareamento caseiro). Enfim, mais um caso clínico para vocês!
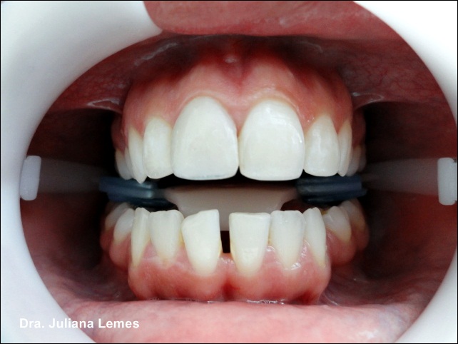
O tratamento oferecido à paciente foi: clareamento de consultório, faceta em resina composta e regularização das bordas incisais superiores.
Foram realizadas 3 sessões de clareamento de consultório, com peróxido de hidrogênio com concentração de 35%.
A escolha pela faceta de resina foi custo. No momento, ela não poderia arcar com a confecção de uma coroa metal free. O elemento 11 (em questão), não tem tratamento endodôntico.
Após a realização da faceta, a paciente pediu a regularização das bordas incisais. De fato, a presença dos lóbulos de desenvolvimento é característico de crianças.
Agora, depois de tudo pronto, a paciente quer fechar o diastema inferior. Aí, peço ajuda dos Ortodontistas! O que vocês sugerem (partindo do ponto que ela se nega a colocar aparelho, durante o tracionamento do freio labial inferior ocorre uma isquemia pequena, ela tem desgaste em topo do 41 e leve giroversão do mesmo)???
Para o caso, foi utilizado:
- Afastador labial
- Barreira gengival
- Peróxido de Hidrogênio 35%
- Ácido fosfórico 37%
- Fio afastador gengival 000 e 0
- Adesivo à base de água como solvente
- Resina de dentina, esmalte e corpo A1;
- Resina translúcida azulada;
- Pasta diamantada para polimento
- Discos de feltro para polimento
- Discos de granulações diversas para acabamento de resina

>Pergunte à sua paciente se ela não quer usar aparelho ou nao quer braquetes metálicos. Os braquetes de cerâmica são uma opção estética interessante.
Agora, se ela não quiser usar aparelho convencional fixo nenhum MESMO, tem a opção do Invisalign e afins.
Mas, se nem esses ela quer e quer que voce resolva, resopnda que voce faz o possível. Milagre é na igreja mais próxima. rsss
>Lindo trabalho Ju!
Parece que a paciente não quer usar aparelho e tb não quer gastar muito, então se não dá para fazer faceta, eu faria o ajuste oclusal e o fechameto do diastema com resina.
Bjs
>Já q a paciente não deseja o tratamento convencional de ortodontia, colagem de braquetes.Poderia pensar em um aparelho movel. Mas outra sugestão é faceta ou Pf para o 41. E se necessário acrescimo mesial em resina no 31
bju