>Mais um caso de gambiarra/improviso que deu certo na minha ESF.
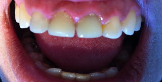
Paciente Benedita, 40 anos, apareceu na Estratégia de Saúde da Família Lava Pés em maio de 2010 com uma fratura na região cervical do dente 21. Chorava muito, pois não tinha condições financeiras de colocar um pivot como foi orientada no pronto-atendimento.
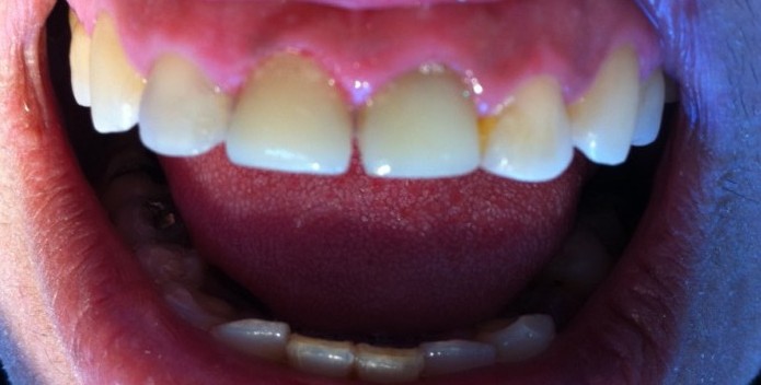
Não sabia muito o que fazer, até me acalmar e decidir: pino de clips, claro! E deu certo! A gengiva da paciente é saudável, a estética ficou boa. Fiz uma faceta direta em resina no 11 também e essa semana, mais de um ano depois, a paciente me apareceu assim:
Fratura no 11 e 12 devido uma queda pela umidade nos últimos dias aqui no sul. O 21 estava um pouco pigmentado pelo tempo, mas a forma e a função permaneciam em bom estado. Depois de desgastar toda vestibular do 11 e confeccionar uma nova faceta em resina, aproveitei pra realizar um desgaste de leve na pigmentação dos outros dentes. O resultado foi esse:
Falta alguns detalhes na forma, mas combinamos para uma próxima consulta, pois levei cerca de 1 hora pra deixar o dente assim.
E pra quem acha que no SUS não é possível fazer estética, minha resina e adesivo foram esses:
Fica a dica pra quem tá entrando no serviço público: o material não é aquele que nós estamos acostumados a usar no consultório, ainda mais se tratando de estética. Usei uma única cor pra confeccionar a restauração, e ela ficou boa!
É aquela coisa: fazer o melhor com as condições que se tem. E dessa maneira você vai ter um paciente fiel pra sempre 🙂
#goDIVAS! GO!


>Sério, eu chego a ficar emocionada vendo isso!
Sou recém formada e quando digo que minha maior vontade é trabalhar no SUS, levo, no mínimo, vários olhares tortos.
Dá mais vontade ainda vendo o bom trabalho de quem realmente gosta do que faz.
Parabéns!
>Diva do SUS é outro departamento!
Parabéns Marjo Fierce!