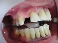
>O paciente compareceu a clínica com a prótese adesiva solta, esta prótese foi colocada em 2001, ou seja a prótese adesiva durou 10 anos.
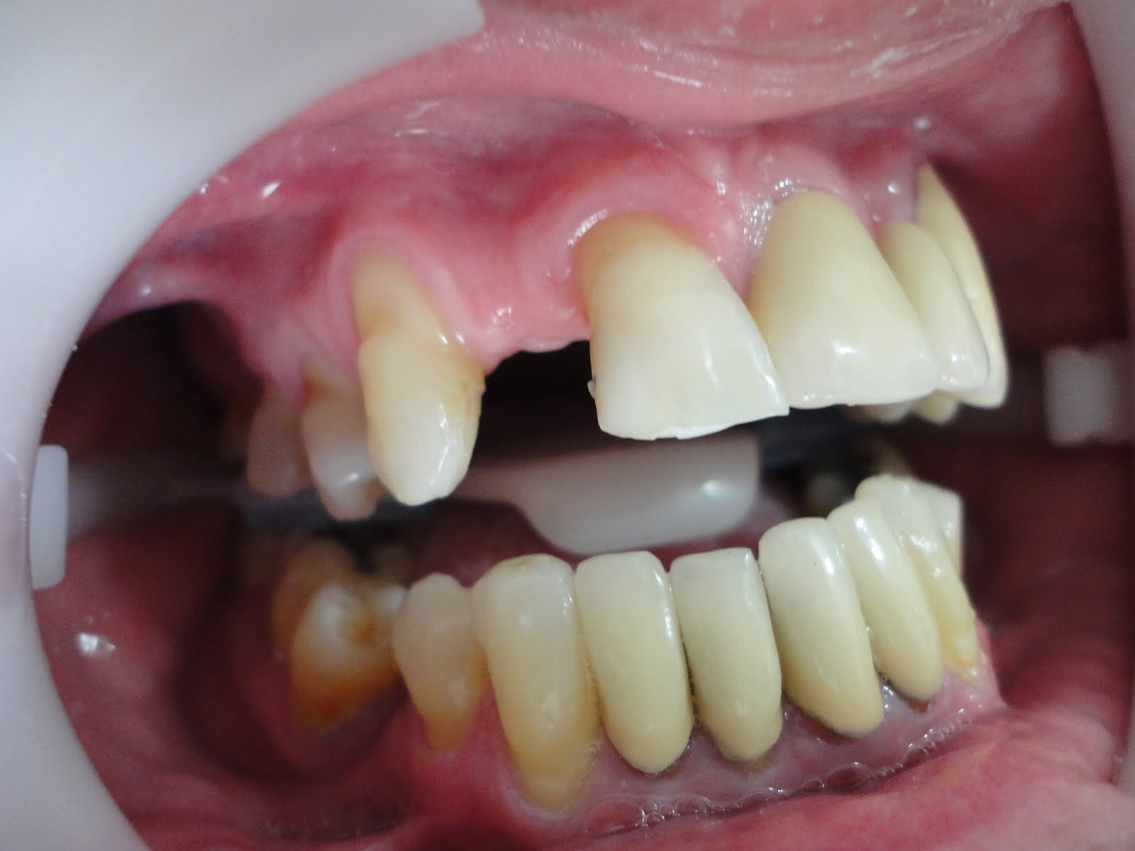
Na época foram feitas canaletas e desgastes mínimos na palatina do dente 13 e 11, a unidade ausente é o 12.
Indiquei ao paciente implante para a unidade 12, mesmo porque hoje em dia eu não faço mais adesiva, a indicação primária para a falta de um elemento dentário é o implante, claro que deve-se ter as condições para o mesmo.
O paciente disse que vai pensar ….custo/benefício, ou seja o de sempre 😉
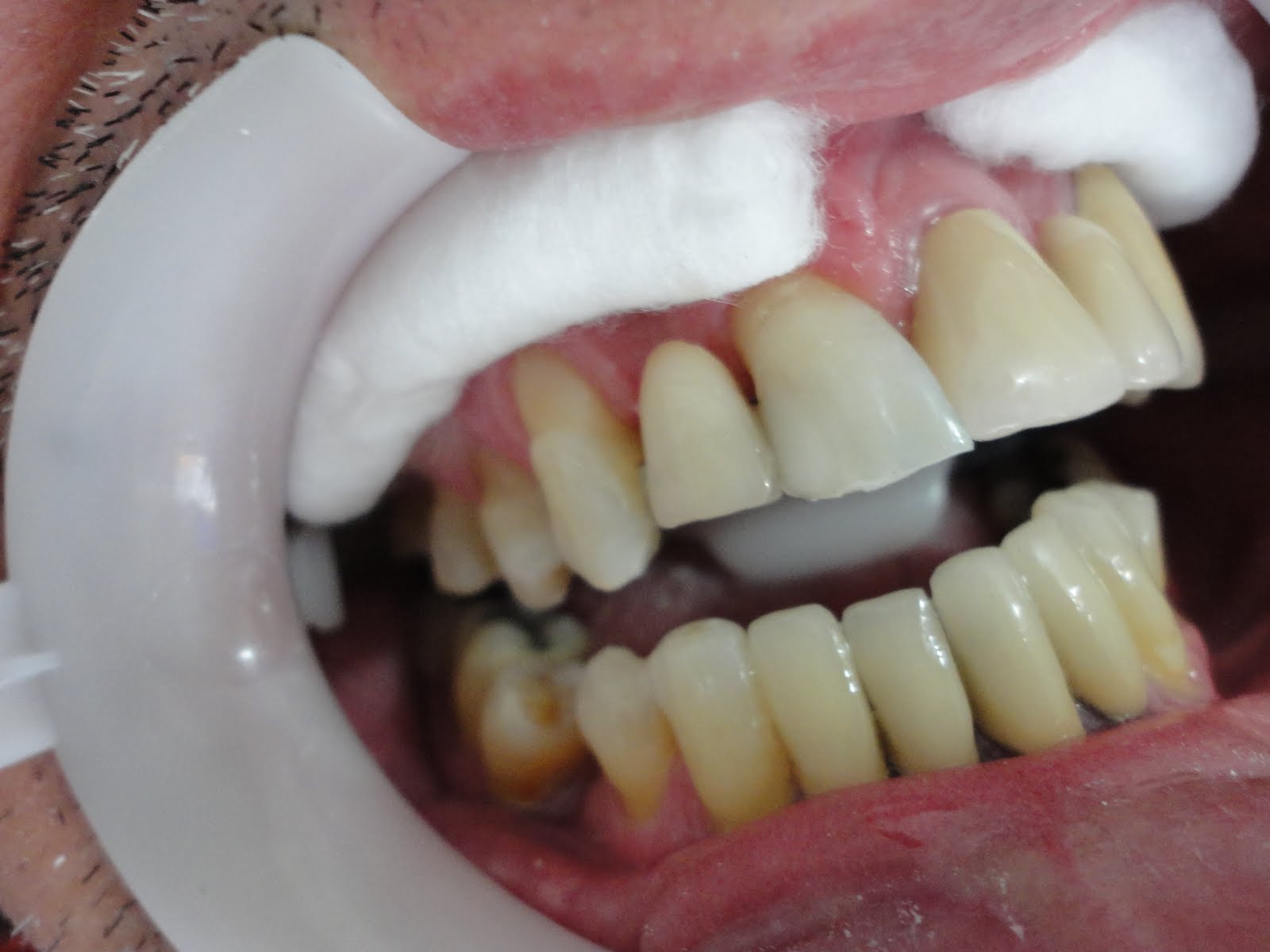
Resolvi então limpar a prótese, jatear, e preparar os dentes pilares para receber e cimentar a prótese adesiva novamente 🙂
Gostou? Comente!
beijocas
GOGODIVAS
Olá Dra. Lilian!
Eu quebrei o dente número 15 e fiz a extração dele e gostaria de saber por que o implante é mais indicado em relação às outras técnicas.
Já me sugeriram puxar os outros dentes e fechar apenas o espaço.
Fico muito grata se puder responder!
Oi Raquel, desculpe me “meter”…
O implante é o solução que melhor devolve a função mastigatória (em torno de 90%), além de ser mais estética e facilitar a higienização (em comparação a uma ponte fixa, por exemplo). Fechar o espaço de um dente perdido com aparelho também é uma possibilidade… depende de qual dente foi perdido e das condições e quantidade de osso no local.
10 anos com a prótese adesiva… nada mal! Parabéns pela avaliação e orientação do paciente em relação aos tratamentos. A adesiva voltou a ficar legal, mas por quanto tempo?!
>Pensando aqui em voltar a fazer prótese adesiva 🙂
Obrigada Camila!!
Bjs
>Lili, eu faço adesiva ainda, nos posteriores, mas deixo o paciente ciente dos riscos e falhas que esse pode trazer a longo prazo.
Nos anteriores fiz 4 desde que me formei, não tive problema em nenhum (pelo menos por enquanto), mas com certeza indico primeiramente o implante.
Beijos, otimas fotos.